Highlands Ranch Dental Spa
Cosmetic Dentistry and Aesthetics in Highlands Ranch, CO
Bring your kiddos for their first cavity without shots or drilling with our new laser technology!
We are equipped with the latest Laser technology!

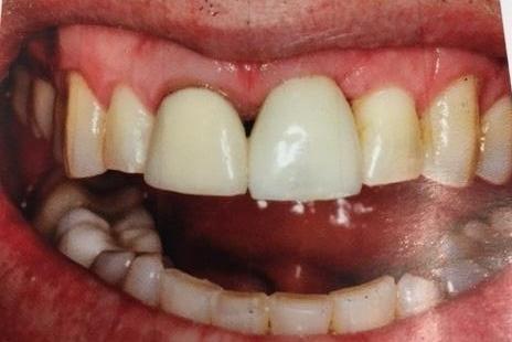
Implant + Crown

Smile was restored with dental implant and crown
Improve your smile today – call to schedule a consultation!
If you have difficulty using our website, please email us or call us at (303) 471-5500