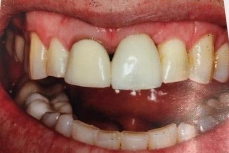
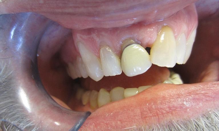
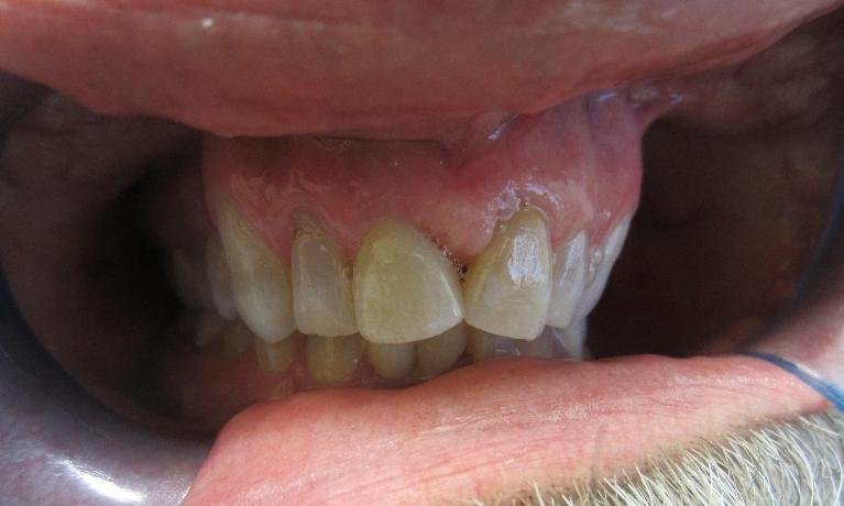
Seeing our patients’ new smiles is one of the best parts about what we do at the office of Highlands Ranch dentist Dr. Sarira Martin, DDS, PC. Take a minute to look over some before and after photos from our actual patients and consider the possibilities for your own smile.
" Dr.Martin deserves 10 stars out of 5 ! She is an amazing dentist and I've never had a better experience than I have with her and her staff . She is patient and understanding, she listens to your concerns and truly strives to exceed your expectations."

