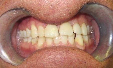
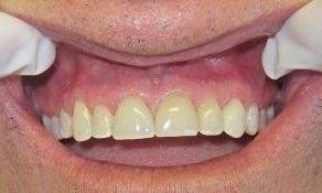
Seeing our patients’ new smiles is one of the best parts about what we do at the office of Highlands Ranch dentist Dr. Sarira Martin, DDS, PC. Take a minute to look over some before and after photos from our actual patients and consider the possibilities for your own smile.
Smile Gallery Categories

